Doctors Stunned After Looking At This X-Ray Of Woman Suffering Joint Pain

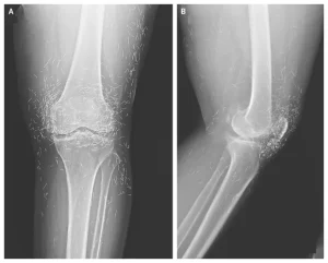
A routine X-ray revealed a shocking surprise: hundreds of tiny gold needles embedded in the knees of a 65-year-old woman with severe joint pain.

The woman, from South Korea, had suffered from osteoarthritis for years and turned to acupuncture after standard treatments failed or caused side effects like stomach problems.

Acupuncture involves inserting thin needles at specific points to relieve pain, but in this case, gold needles were intentionally left in her tissue for continuous stimulation.

But experts warn this approach carries serious risks. Dr. Ali Guermazi explained that leaving foreign objects in the body can trigger inflammation, infection, or abscesses, and interfere with future medical imaging.

Despite these dangers, gold thread acupuncture remains common in parts of Asia, including South Korea, where practitioners claim long-lasting benefits, though scientific evidence is limited. Cases like this illustrate the need for caution when considering extreme alternative therapies.

Doctors emphasize that patients should carefully weigh potential benefits and risks before pursuing unconventional treatments. What seems harmless can have serious consequences, and informed decisions are essential to avoid dangerous complications.

Related Posts

Bo Derek (66) forgot how old she was and showed her naked body in nothing but a tiny bikini! The fans of the actress even had to double-check the actress’s age! New photos in comments

The girl everyone secretly adored didn’t just fade away—she chose to leave. At the height of her fame, when the world still saw her as perfection, Bo…

Presidential Power Reaches New Heights as 217-Year-Old Emergency Law Looms Over American Cities

A rarely used federal statute has reemerged as the U.S. faces a growing constitutional crisis following violent unrest in Los Angeles. The crisis began after ICE conducted…

Why Barron Trump Can’t Be Drafted As Young Men Soon To Be Automatically Registered

The federal government’s move to automatically register young men for potential conscription has reopened old wounds about who truly bears the cost of war. For many, the…

With heavy hearts, we report the sad news about the multi-talented actor and cornerstone of comedy

T.K. Carter, a beloved screen presence whose work spanned decades of television and film, has reportedly passed away at 69, leaving behind a legacy shaped by talent,…

Doctors Reveal: Drinking Coconut Water May Cause…

Coconut water is often seen as the perfect symbol of natural health—fresh, tropical, and packed with nutrients. It’s associated with beaches, sunshine, and wellness, making it easy…

The First Thing You Notice

Optical illusions have always attracted attention because they show that human vision is not as simple as it seems. They help explain how the brain interprets images…

Leave a Reply

Your email address will not be published. Required fields are marked *